xCAT IQ
CBCT-skanner for nevrokirurger og intensivavdelinger
Mobil CT-skanner til operasjonssalen
Med xCAT IQ får du CT-skanninger i diagnostisk kvalitet direkte i operasjonssalen.
Unngå å måtte sende pasienten til røntgenavdelingen, og spar tid
Når du trenger CT-bilder i forbindelse med en operasjon, triller du skanneren til pasienten og skanner pasienten. Det tar mindre enn ett minutt, og du får bildene med det samme.
Hjulene triller lett og skanneren tar så liten plass at den kan stå permanent i operasjonssalen.
Gi en lav stråledose, uten å inngå kompromisser med bildekvaliteten
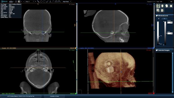
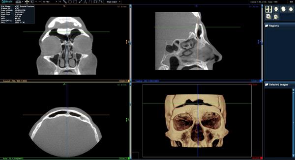
xCAT IQ er en cone beam-skanner og pasienten utsettes for en ultra-lav stråledose.
Til tross for den lave dosen får du detaljerte bilder i høy kvalitet av f.eks. hjernen, bihuler, kraniebase, ører og av craniomaxillofaciale skader.
Programvaren er lett å bruke, og den store portalen roterer 360 grader rundt pasientens hode. Det gir mer og bedre data.
Tiden er avgjørende. Med xCAT IQ kan du:
- få bekreftet posisjonen til implantater
- unngå å måtte vente på en tradisjonell CT-skanning
- utføre intraoperative justeringer med det samme
- evaluere og justere cochlea-implantater direkte i operasjonssalen
- raskt få postoperative bilder og unngå at pasienten må på operasjonsbordet igjen senere

Mobil CT-skanner til intensivavdelinger
Forestill deg en mobil CT-skanner som du raskt kan trille frem til intensivpasientens seng. Få minutter senere har du en skanning som viser status for pasientens tilstand. Det kan du med xCAT IQ.
Få svar på få minutter
Ved en akutt nevrologisk endring i pasientens tilstand trenger du å vite om det er en intrakraniell blødning, et cerebralt ødem eller kanskje hydrocephalus. Du kan få svar på få minutter.
Du unngår å måtte transportere sårbare intensivpasienter over til røntgenavdelingen. Isteden triller du CT-skanneren inn på operasjonssalen og sparer viktig tid.
xCAT IQ gir nøyaktig klinisk informasjon, slik at du raskt kan vurdere prognoser og planlegge ytterligere behandling.
Ultra-lav stråledose gjør skanneren godt egnet til pediatri
Skanneren er spesielt godt egnet til pediatriske intensivpasienter, der tid og dosebesparelse er avgjørende faktorer.
Relaterte produkter
xCAT IQ
Artikkelnummer
kr 2,00






